GONOREJA(Kapavica, Triper)
Klasične spolne bolezni
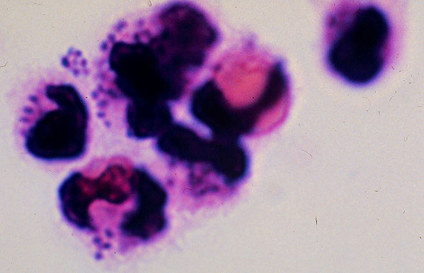
Je razširjena po vsem svetu. Povzroča jo bakterija
Neisseria gonorrhoeae (gonokok). Okužba se prenaša s človeka na človeka predvsem s spolnimi odnosi, redek, čeprav
ne nemogoč, pa je prenos s predmeti. Hitrejše širjenje pogojujejo socialni dejavniki, kot so nevezano spolno življenje,
promiskuiteta, narkomanija, prostitucija in podobno.
INKUBACIJA: 2 do 3 dni, redko do 5 dni.
BOLEZENSKI ZNAKI so pri moškem drugačni kot pri ženski.
Pri MOŠKIH se pojavi vnetje sprednjega dela sečnice, ki se kaže kot gost, temno rumen izcedek. Opazen je predvsem zjutraj,
najpogosteje vidimo madež na spodnjem perilu. Značilna sta tudi občutek srbenja in pekoča bolečina pri uriniranju.
Približno po 14 dneh preide akutno vnetje v kronično in takrat je izcedka zelo malo, težave ponehajo,
vendar se lahko pojavijo zapleti (vnetje prostate, obmodka...). V redkih primerih se vnetje razširi na sečni mehur,
kar pospešujejo aktivnosti, kot so: telesni napor, šport, masturbacija, spolno občevanje ipd. Zato se jim moramo
v času bolezni odpovedati.
Pri ŽENSKI se pojavi vnetje sečnice in kanala materničnega vratu. Izcedka in tudi težav je malo, le blag srbež in pekoče
bolečine pri uriniranju. Po splavu, porodu, pa tudi med menstruacijo se vnetje lahko razširi v samo maternico
(na endometrij) in od tod na jajcevode, kar lahko spremljajo hude bolečine in splošna prizadetost. Tudi pri ženski lahko
vnetje postane kronično in lahko povzroči zožitev ali zaprtje jajcevodov, s posledično sterilnostjo
ali zunajmaterničnimi nosečnostmi.
POSEBNE LOKALIZACIJE: Zaradi prakticiranja različnih spolnih tehnik (genitalno-oralni in genitalno-analni kontakt)
se lahko gonoreja pojavi tudi v ustih ali v danki.
ZDRAVLJENJE: Gonorejo zdravimo z antibiotiki. Uspeh zdravljenja naj vedno preveri zdravnik.

NAZAJ<< >>NAPREJ